
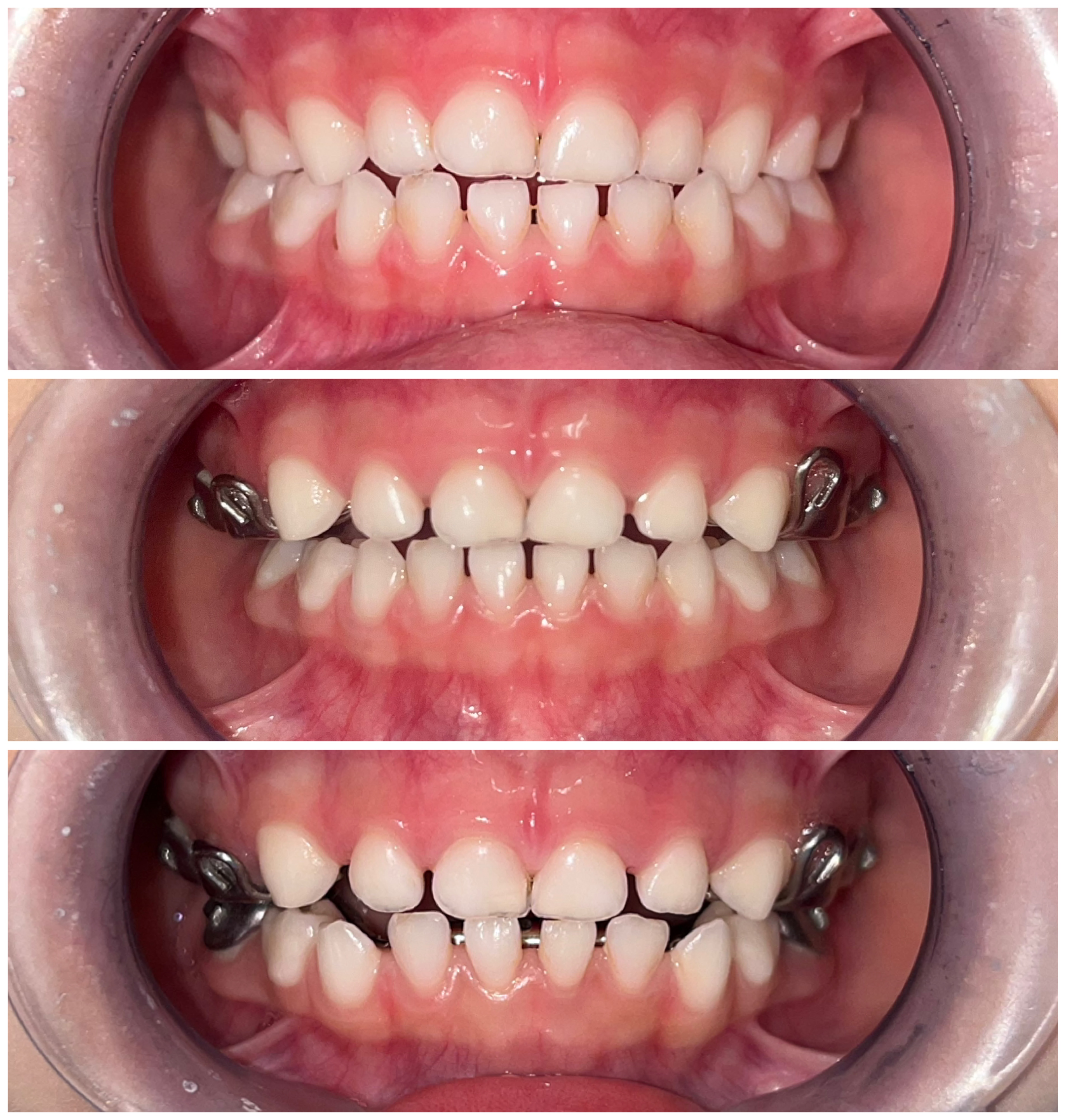
Early Pediatric Expansion In San Diego
Early pediatric expansion supports healthy jaw development and creates space for incoming permanent teeth. By age three, a child’s jaws are already more than 50% developed, making early intervention a powerful opportunity to guide growth in a positive direction.
By working with your child’s natural growth patterns, early expansion can promote proper spacing, ideal jaw development, improved airway support, and overall oral function. Schedule an appointment today to learn whether early pediatric expansion is the right choice for your child.

Before & Afters
A smile is worth 1,000 words.
See real patient success stories.


Porcelain Veneers
Sample text is being used as a placeholder. Sample text helps you understand how real text may look. Sample text is being used as a placeholder for real text that is normally present. Sample text helps you understand how real text may look.
FaQ's
Frequently Asked Questions
Check out these frequently asked questions, or call us to speak with our team.
